Komplex Fogimplantátum Esettanulmány Kecskemét | Dentalux
Egy komplex fogpótlás története – az alapoktól az új mosolyig
Nagy örömmel számolunk be egy különleges, komplex fogimplantátum-csontpótlás-fogpótlás ellátásunkról, amit nemrég fejeztünk be. Büszkék vagyunk rá, hogy a teljes folyamatot az elejétől a végéig egy helyen, a kecskeméti Dentalux Fogorvosi rendelőben végeztük el.
A kihívás: Foghiány és "pengeszerű" állcsont
Egy nagyon kedves páciensünk, Benda Imréné azzal keresett meg minket, hogy a bal alsó, fogatlan állcsont-területére szeretne egy fix, rögzített fogpótlást.
Alapos száj- és röntgenvizsgálatok után 3D CT felvételt készítettünk. Ez megerősítette, hogy a fogpótlás csak fogimplantátum(ok) segítségével kivitelezhető. Az állcsont csontadottsága azonban, ahogy a CT-n is látszott, a beavatkozáshoz kedvezőtlen volt (az állcsontgerinc "pengeszerűen" elvékonyodott), ezért csontpótlásra is szükség volt.
A "High-Tech" Megoldás: Egyidejű beavatkozás 3D-s tervezéssel
Az ellátáshoz a legmodernebb digitális technológiát hívtuk segítségül. Kihasználtuk azt, hogy a kecskeméti Dent-a-Lux Fogászat a világelső fogimplantátum gyártó svájci Straumann hivatalos referencia rendelője.
Egy precíziós, digitális fúrósablont készítettünk, és ún. irányított sebészeti (guided surgery) módszert alkalmaztunk. Ráadásul mindezt úgy, hogy a csontpótlást a fogimplantátumok behelyezésével egy időben végeztük el.
Az ellátást és a "kulisszatitkokat" korábban feltöltött YouTube videónkban részletesen ismertettük:
A módszerünk 3 hatalmas előnye a páciens számára
Ez a "két lépés egyben" módszer hatalmas előnyökkel jár a páciens számára:
1. Előny: Hónapok megspórolása (Egyidejű beavatkozás)
A fogbeültetés és a csontpótlás egy időben történik, amivel nagyon sok időt spórolunk meg a páciensnek. Nálunk sokkal hamarabb jut a végleges fogpótlásához, mint a hagyományos módszerrel, ahol előbb a csontpótlás gyógyulását (több hónap) kell kivárni, és csak utána jöhet a fogbeültetés.
2. Előny: Maximális biztonság (Idegképletek védelme)
A 3D-s tervezésnek és a fúrósablonnak köszönhetően az ér-ideg képletek maximálisan megkíméltek. Az implantátumok hajszálpontosan abba a pozícióba kerülnek, ahova terveztük, így az idegsérülés kockázata elkerülhető.
3. Előny: Tökéletes esztétika (A "Fogorvosi" pillér)
Mivel az implantátumok pont oda kerülnek, ahova a későbbi fogpótlás szempontjából az ideális, a végeredmény esztétikailag és funkcionálisan is optimális lesz. A stabil szájsebészeti "alap" (implantátum) teszi lehetővé a tökéletes esztétikai "felépítmény" (fogpótlás) elkészítését.
Az Eredmény: A tökéletes "híd" és a páciens elégedettsége
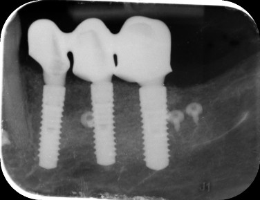
A sikeres gyógyulási időszak után elkészült a végleges, rögzített híd. Ez a lépés legalább olyan fontos, mint a műtét: itt válik a szájsebészeti alapozás egyedi, esztétikus, prémium fogpótlássá. A kezelés sikerét a kontroll röntgenfelvétel is tökéletesen igazolja:

Száz szónál is többet mond azonban páciensünk őszinte véleménye, amit a Google felületén osztott meg velünk:
"Termèszetesen a nevem feltüntetèsèhez hozzàjàrulàsomat adom. Teszem ezt azèrt, mert a Doktor Ur minden tekintetben a legnagyobb szakèrtelemmel, tudàssal, hozzàèrtèssel vègezte el az implantàtumok beültetèsèt. Mindezt a betegre tekintettel, a legkevesebb fàjdalommal ès kellemetlen èrzèsekkel vègezte el. Kifogàstalan beavatkozàs eredmènyekèppen az "uj fogaim" tŏkèletesen illeszkednek,ès hasznàlhatok.A Doktor Ur a jelenleg forgalomban levő csucsminősègű alapanyagokat hasznàlta. A beavatkozàsok alkalmàval udvarias,figyelmes, ès kèszsèges,valamint kŏzvetlen hangulatban tŏrtèntek. Mindenkinek jò szìvvel tudom ajànlani a rendelőt,ill. a Doktor Urat."
– Benda Imréné Irén
Konklúzió: A vékony csont ma már nem akadály
Benda Imréné esete tökéletesen mutatja, hogy a modern 3D tervezéssel és a prémium Straumann implantátumokkal ma már a legkomplexebbnek tűnő esetek is biztonságosan, és a páciens számára időtakarékosan oldhatók meg.
Önnek is hasonló problémája van? Ne habozzon, a vékony csont vagy a foghiány ma már nem akadály!
- Tudjon meg többet a fogimplantátum és csontpótlás folyamatáról itt.
- Kérjen konzultációs időpontot Dr. Kőhalmi Tamás specialistához, és ismerje meg aktuális csomagajánlatainkat!