CIRKON DIOXID - KERÁMIA

Cirkon vagy cirkon dioxid a neve annak a kerámiának, amelyet bár a gyógyászat számos területén már régóta használnak, korona és hídpótlások készítéséhez csak a legutóbbi kutatásoknak és technológiáknak köszönhetően kezdtek el alkalmazni.

A cirkon dioxid terhelhetősége olyan nagy , hogy még csípőprotéziseket is készítenek belőle. A kémiai képlete ZrO2, amely manapság még cirkoniumoxidként és cirkonoxidként is ismert. A tudománynak végre sikerült egy olyan anyagot kifejlesztenie, amely a fogpótlások számára minden, régóta áhított "top-tulajdonságot" egyesít: fogszínű, biokompatibilis, így allergiásoknak is ideális és extrém terhelhetőségű. A cirkon dioxidból készült korona vagy hídpótlás végre nem úgy néz ki, mint egy fogpótlás! A legmagasabb esztétikai elvárásoknak is megfelel és fémmentes! ...összefoglalva: a Cirkon dioxid „hightech made in Germany“, amellyel a modern tudomány révén olyan korszerű fogpótlása lehet, aminél a tökéletes esztétikum és a hosszútávú tartósságért felelős illeszkedési pontosság magától értetődően természetes.

Előnye:Esztétikum, tartósság, a hagyományos megoldásokhoz képest kevesebb fogállományt kell „lecsiszolni“, korona és hídpótlások készítésére egyaránt lakalmas.

Hátránya:a hagyományos megoldásokhoz képest magasabb ár.

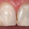
Dent-A-Lux - Cirkon dioxid kerámia tömés.

Képgaléria

Kapcsolódó cikkek

Dent-A-Lux

Fogorvosunk – Dr. Kőhalmi Tamás

Dr. Kőhalmi Tamás vagyok, a Dent-A-Lux Fogászat Kecskemét szívében található rendelőjének alapítója és vezető fogorvosa. 1994-ben végeztem a Szegedi Tudományegyetem Szent-Györgyi Albert Orvostudományi…

Tovább More
Egy 25 éve gyökérkezelt fog is igazolja, hogy a szakszerű gyökértömés tartós megoldás. Nem mindig kell foghúzás vagy fogimplantátum – a saját fog megmenthető és költséghatékonyabb.

Gyökérkezelt fog: tartós megoldás…

Sok páciens érkezik a Dent-A-Lux Fogászat Kecskemét belvárosi rendelőjébe azzal a kérdéssel:„Érdemes-e egy szuvas, fájdalmas fogat gyökérkezelni, vagy inkább húzzuk ki és pótoljuk fogimplantátummal vagy…

Tovább More
Fogorvosaink Kecskemét belvárosában 30 év tapasztalattal végeznek fogimplantátum és szájsebészeti kezeléseket. Dent-A-Lux Fogászat – prémium Straumann implantátumokkal, modern technológiával, biztonságosan és fájdalommentesen.

Fogimplantátum és csontpótlás világszínvonalon

A modern fogászat egyik legnagyobb vívmánya a fogimplantátum, amely természetes hatású, tartós és esztétikus megoldást nyújt a hiányzó fogak pótlására. Ha pedig a csontállomány nem megfelelő, csontpótlásra…

Tovább More
Dent-A-Lux

Fogak preparálása a modern fogpótlásokhoz

A modern fogpótlások tartóssága és esztétikai minősége nemcsak a felhasznált anyagokon és a korszerű technológián múlik, hanem azon is, hogyan készíti elő a fogorvos a fogakat a kezeléskor. A fogak preparálása,…

Tovább More
Kiemelt fogimplantátum és fogbeültetés akció Kecskeméten. Válasszon prémium Straumann és SGS csomagjaink közül, egyedülálló 3-szoros garanciával (ár, termék, beépülés)!

NAGY Fogimplantátum -Fogbeültetés…

Prémium Straumann és SGS csomagok 100% garanciával Találja meg az Önhöz illőt! Most csak az implantátum anyagköltségét fizeti - a teljes műtéti díjat mi álljuk!   1.: SGS Dental P5D fogimplantátum +…

Tovább More
A Dent-A-Lux Fogászat Kecskemét belvárosában modern esztétikai megoldásokat kínál, beleértve a mosolytervezést és mosolyátalakítást.
Videónkban bemutatjuk, hogyan varázsolunk természetes, harmonikus mosolyt pácienseinknek több mint 30 év tapasztalattal és nyugat-európai minőséggel.

Videós bemutató a Dent-A-Lux rendelőből

A mosoly az első benyomás kulcsa. A Dent-A-Lux Fogászat Kecskeméten a legmodernebb mosolytervezést és esztétikai fogászati megoldásokat kínálja, hogy már a kezelés megkezdése előtt lássa, milyen lesz a…

Tovább More